빠진 치아로 어려움을 겪고 있는 사람들에게 인기가 높은 해결책인 임플란트.
치아는 인상을 바꾸고, 미소, 발음, 이미지에 큰 영향을 끼치기 때문에
미적인 부분과, 기능적 부분이 모두 요구되는 부분이죠
임플란트를 고려하고 있다면, 비용, 절차, 보험의 도움을 받을 수 있는 방법을 이해하는 것이 필수적인데요,
오늘 임플란트 가격, 시술 과정, 의료보험 적용대상을 포함해
임플란트를 싸게 할 수 있는 방법을 알려드리겠습니다.
특히, 만 65세 이상일 경우 정부지원도 가능하니 꼭 읽어주세요!



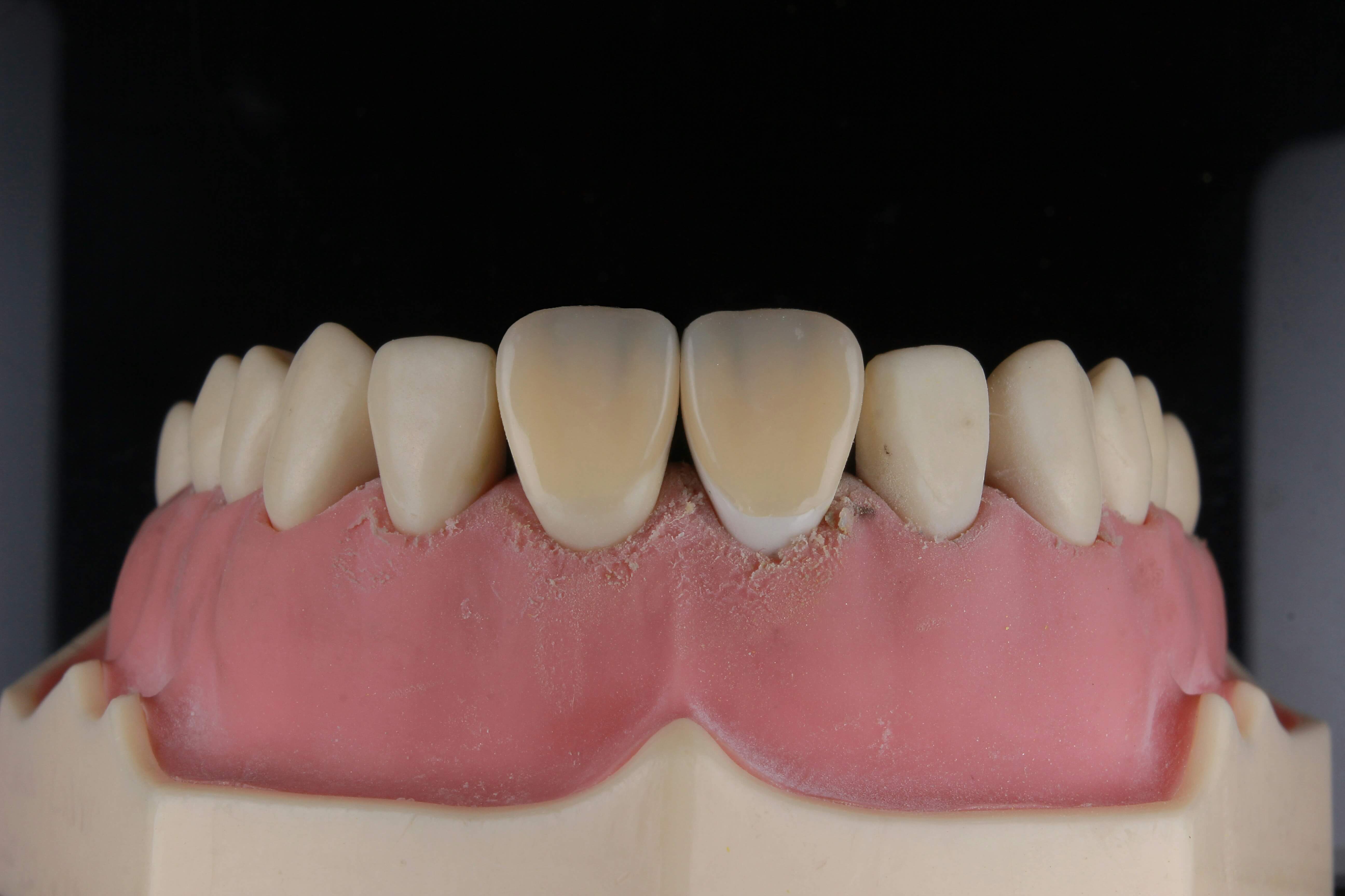
임플란트
임플란트는 빠진 이를 대신해서 잇몸뼈에 임플란트인 인공 치를 심고, 그 위에 보철물을 씌우는 치방법입니다.
임플란트의 뿌리는 잇몸벼와 잘 결합되는 티타늄으로 만들어집니다. 튼튼한 내구성과 본래 치아와 유사한 형태로 만들어 치아의 기능적 역할과, 미적 역할을 모두 보완해 줍니다.
임플란트 비용
임플란트의 가격은 지역, 케이스의 복잡성 및 사용되는 재료 등 여러 요인에 따라 크게 달라질 수 있습니다.
평균적으로 단일 임플란트의 비용은 대략 50만 원에서 450만 원 사이입니다.
개인의 필요에 따라 추가 비용이 발생할 수 있습니다.
예를 들어, 치아 발치, 뼈 이식 또는 기타 준비 절차가 필요한 경우, 이러한 비용이 전체 비용에 추가될 수 있습니다.
또한 여러 개의 임플란트가 필요할 경우 총비용이 증가할 수 있지만,
대부분 치과에서는 프로모션을 진행하기도 합니다.
비용적 부담은 있을 수 있지만, 내구성이 좋은 임플란트는 장기적으로 비용대비 만족도가 높은 편입니다.
임플란트 시술과정
임플란트 의료보험
1. 만 65세 이상일 경우 임플란트 의료보험 혜택이 가능합니다.
2. 치아가 남아 있어야, 임플란트 의료보험이 가능합니다.
모든 치아가 없을 경우 틀니시술 쪽으로 보험을 알아보시는 게 좋습니다.
3. 임플란트 의료보험은 최대 2개까지 지원 가능합니다.
의료보험시 본인부담률은 총진료비의 30%로 비싼 임플란트 비용에 대한 부담을 확 낮출 수 있습니다.
집안 내력으로 치아가 좋지 않을 경우에는
치과보험이나 건강저축보험을 미리 알아보시는 것도 좋습니다.
아니면, 치과에 비용 지불 시 할부나 분할결제가 가능한지도 알아보시고
비용적 부담을 낮추시는 것도 방안이 됩니다.
보험이 임플란트를 보장하지 않는 경우, 비용을 보전할 수 있는 추가 치과 보험 또는 건강 저축 계좌(HSAs)를 고려해 보세요. 또한, 많은 치과 병원에서는 여러 달에 걸쳐 비용을 분할하여 지불할 수 있는 금융 옵션 또는 지불 계획을 제공합니다. 보험 보장과 관련하여 치과 사무실에 상담하는 것이 유익하며, 이들은 종종 혜택을 이해하고 가장 비용 효과적인 설루션을 찾는 데 도움을 줄 수 있는 직원이 있습니다.
임플란트 치료 중 다른 병원으로 옮기게 될 경우, 보험 지원이 어려울 수 있습니다.
치료를 시작한 곳에서 마무리하시고 의료보험 혜택까지 잘 받아가시길 바랍니다.














'생활정보' 카테고리의 다른 글
| 농협 안성 코스목동 축제 할인가 구매방법 (와그) (8) | 2024.10.01 |
|---|---|
| 안성 팜랜드 코스모스 축제 코스목동 할인방법 (2) | 2024.09.30 |
| 소상공인 정책자금 상환연장 제도 (6) | 2024.09.25 |
| 이찬원 콘서트 일정, 가격, 예매하기 꿀정보 (3) | 2024.09.24 |
| 분당 파크 콘서트 2024 (무료주차, 라인업,분당주민꿀팁) (15) | 2024.09.23 |
